14次不同方案的化疗、20次放疗、全胃切除手术……自从4年多前被确诊为“弥漫大B细胞淋巴瘤”, 来自广东的孙先生(化名)就开始了漫长而又痛苦的治疗,几乎所有方案都尝试过了,然而疗效一直不尽人意,肿瘤反复复发。
“命运已经给我判了‘死刑’,整个人感觉犹如掉进了万丈深渊一般。”
2020年5月,孙先生来到浙江大学医学院附属第一医院,经过前期的评估,接受了全新的PD1-19bbz CAR-T细胞治疗,如今孙先生无病生存已超过2年。
“感谢新的CAR-T疗法,给了我第二次生命!”
这是迄今为止全球CAR-T细胞治疗难治复发淋巴瘤中高缓解率和低毒副反应的最好临床结果,标志着中国学者在CAR-T细胞研发及临床转化应用领域处于国际领先地位。

全球首次,研制新型CAR-T细胞产品
以往CAR-T细胞制备是采用患者本身的淋巴细胞在体外通过病毒转染的方法,将针对肿瘤靶点的CAR分子整合到T淋巴细胞中,形成CAR-T细胞。目前在北美已经有6个CAR-T细胞产品上市,其中5个为针对CD19靶点,1个针对BCMA多发性骨髓瘤靶点,在中国已上市2款针对难治复发淋巴瘤的CD19靶点CAR-T产品。
这些CAR-T产品的上市,为难治复发恶性淋巴瘤患者带来了生的希望,成为恶性肿瘤治疗领域最具有突破性的技术。
不过,传统的CAR-T产品还存在着一些亟待突破的问题——
1.用病毒转染方法制备CAR-T细胞存在着靶点随机插入导致CAR-T细胞质量良莠不齐;
2.随机插入基因片段有导致肿瘤基因改变的风险;
3.目前的CAR-T细胞产品对难治复发淋巴瘤的完全缓解率约为50%左右,疗效还有待提高;
4.淋巴瘤治疗中由于肿瘤细胞的快速杀灭和细胞因子释放而导致全身的严重反应,在临床上被称为细胞因子释放综合征和免疫效应细胞相关的神经毒性综合征。
为此,全球的科研工作者都在努力研发非病毒定点靶向基因转导技术,从而消除目前CAR-T制备方法存在的不足,并进一步对免疫细胞中的关键基因进行改造,达到更好的疗效和更低的毒副反应。
浙大一院黄河教授团队与邦耀生物刘明耀教授团队合作,利用2020年获诺贝尔奖的CRISPR/Cas9基因编辑技术对T淋巴细胞中PD1位点精确敲除,定点插入针对肿瘤细胞的靶向CD19 CAR分子,构建完成全新的非病毒定点整合CAR-T细胞(PD1-19bbz)。
实验室研究结果表明,使用同源臂长度为800bp的线性双链DNA作为模板可以通过同源介导修复(HDR)机制获得数量最多的CAR整合细胞;PD1-19bbz无论在PD-L1高表达还是低表达的肿瘤细胞中,都体现出更强大、更持久的杀伤效果,小鼠生存率得到显著提高。

世界首例,非传统CAR-T细胞治疗淋巴瘤临床研究
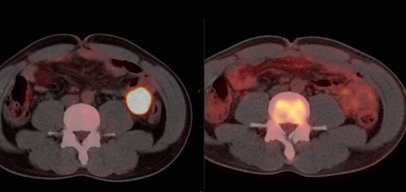
当2020年孙先生来到浙大一院时,腹腔内多发淋巴瘤病灶,且淋巴瘤侵犯肠壁。黄河团队研究认为,淋巴瘤侵犯肠壁是CAR-T治疗的相对禁忌症,在接受CAR-T细胞治疗时容易发生肠穿孔,因此,孙先生已不再适合接受传统的CAR-T细胞治疗,而全新的PD1-19bbz CAR-T细胞,发生细胞因子风暴和其他并发症的发生风险低,“这或许可以给病人一个生还的机会。”
在完成各项临床研究报批后,2020年5月26日,浙大团队为孙先生输注PD1-19bbz CAR-T细胞,回输后的6月9日,孙先生CAR-T细胞回输后14天各项指标正常,经评估后出院,在回输后1个月进行PET-CT评估,结果显示原腹腔侵犯肠道粘膜部位的大包块肿瘤已完全消失。如今孙先生无病生存已超过2年。
团队进一步开展临床研究,结果表明,在接受治疗患者中未观察到CAR-T治疗相关的神经毒性和2级以上的细胞因子释放综合征,证明PD1-19bbz CAR-T细胞具有出色的临床安全性。用PCR技术和流式细胞术方法检测发现PD1-19bbz CAR-T细胞在患者体内可获得快速扩增和长时间的维持。在难治复发淋巴瘤患者中,客观缓解率高达100%,完全缓解率达到87.5%。进一步利用单细胞测序技术研究PD1-19bbz CAR-T细胞体内作用机制,结果表明PD1-19bbz CAR-T细胞产品中存在高比例的记忆性T细胞,体内PD1-19bbz CAR-T细胞具有更强的杀伤肿瘤作用,长期存续的CAR-T细胞具有记忆性细胞的特征。这也全面阐明了非病毒PD1定点整合CAR-T细胞优越的临床疗效背后的作用机制。
在最近的一次随访中,孙先生的所有检查项目均达标,体重也比患病前增加了不少,脸色看起来也更红润了。“经过细胞治疗后身体感觉一下子就恢复正常了,亲朋好友也都说我是奇迹般地康复了,现在闲暇时还会去打打羽毛球,完全恢复了患病前的生活状态。感谢新型CAR-T细胞疗法,让我还能看到儿子上大学。感谢浙大一院黄河院长团队的精心治疗,帮助我战胜病魔,获得重生。” 时隔两年,2022年夏天,孙先生给杭州的医护人员们分享了好消息:儿子确定被国内顶尖大学美术学院录取!
这项研究于北京时间8月31日刊登在国际顶尖杂志《自然》上,浙大一院胡永仙主任医师等为论文共同第一作者,黄河教授为第一通讯作者,邦耀生物刘明耀教授为共同通讯作者,其团队成员张楫钦为第一作者。
(采访整理:吴雅兰 柯溢能)